Subscribe to Updates
Get the latest creative news from FooBar about art, design and business.
Health Freedom
Japan’s NUCLEAR dilemma: Rising tensions spark debate over pacifist principles A senior Japanese security official suggested Japan should acquire nuclear…
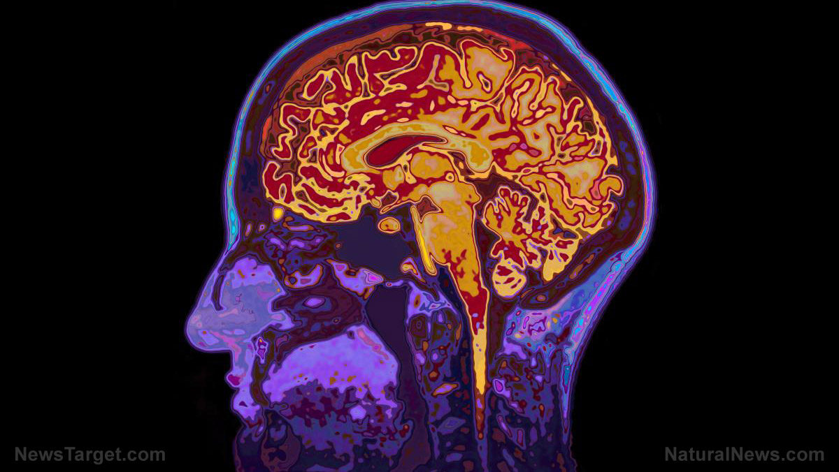
Untreated sleep apnea accelerates cardiovascular aging and increases mortality risk, new study warns
Untreated sleep apnea accelerates cardiovascular aging and increases mortality risk, new study warns A new study reveals that untreated…
Higher EPA/DHA levels reduce depression (15% to 33%) and anxiety (19% to 22%) risks, addressing root causes like brain inflammation…
Silver prices skyrocket amid industrial demand & supply crunch – experts warn ‘this is just the beginning’ Silver surges…
Dems sue Trump administration: A high-stakes legal clash over electric vehicle infrastructure — and separation of powers A coalition…
Russia is deploying advanced Oreshnik missiles to Belarus, a move that significantly increases tensions with NATO due to Belarus’ proximity to…
Coffee’s second life: How your morning brew’s waste can detoxify heavy metals from water Scientists repurpose used coffee grounds…
U.S. escalates maritime war on narco-terrorism, killing eight in latest Pacific strikes The Trump administration has intensified maritime attacks,…
How forced immunizations, fraudulent science and corporate greed have endangered public health From smallpox in 1798 to COVID-19, vaccines…
”Echoes of Liberty” argues that mainstream education and media are tools of indoctrination, omitting historical examples of government brutality (like…
Over 11,100 bottles of bisoprolol fumarate/hydrochlorothiazide (Ziac) were recalled after being contaminated with trace amounts of cholesterol drug ezetimibe—a manufacturing…
The U.S. Supreme Court declined to hear a lawsuit from NYC educators over vaccine mandate religious exemptions. The teachers argued the…
